Exames
Ecocardiografia de Stress em Goiânia

Ecocardiografia de Stress: Para que Serve e Como é Feita?
A Ecocardiografia de Stress é um exame cardiológico avançado utilizado para avaliar o desempenho do coração em situações de esforço físico ou simulado por medicamentos. É especialmente importante para investigar a presença de isquemia miocárdica (falta de irrigação sanguínea no músculo cardíaco) e auxiliar no diagnóstico e acompanhamento de doenças coronarianas.
O que é a Ecocardiografia de Stress?
Trata-se de um exame que combina a ecocardiografia (ultrassom do coração) com o aumento da frequência cardíaca induzido por exercício em esteira/bicicleta ou pelo uso de medicamentos, como a dobutamina. O objetivo é observar como o coração reage ao esforço e se o fluxo sanguíneo para o músculo cardíaco é suficiente durante momentos de maior demanda.
Para que Serve a Ecocardiografia de Stress?
A ecocardiografia de stress é indicada para:
Diagnóstico de Doença Arterial Coronariana
- Detecta áreas do coração que não recebem sangue adequadamente durante o esforço.
Investigação de Sintomas
- Auxilia na avaliação de dor no peito, falta de ar, palpitações ou fadiga sem causa aparente.
Estratificação de Risco
- Determina o risco cardiovascular em pacientes com fatores predisponentes, como hipertensão, diabetes e colesterol elevado.
Avaliação da Função Cardíaca
- Analisa a capacidade do coração de bombear sangue em repouso e durante o esforço.
Monitoramento de Tratamento
- Acompanha a eficácia de terapias em pacientes com doenças coronarianas ou após revascularização (angioplastia ou cirurgia).
Como é Feita a Ecocardiografia de Stress?
O exame é seguro, indolor e segue etapas específicas:
Preparação do Paciente
- O paciente deve estar em jejum leve, usar roupas confortáveis e informar sobre o uso de medicamentos cardíacos.
Ecocardiograma em Repouso
- Primeiramente, é realizado um ecocardiograma convencional, obtendo imagens do coração em repouso.
Indução do Estresse
- O esforço é realizado em esteira ou bicicleta ergométrica.
- Quando o paciente não pode realizar atividade física, utiliza-se medicação (como dobutamina) para simular o esforço.
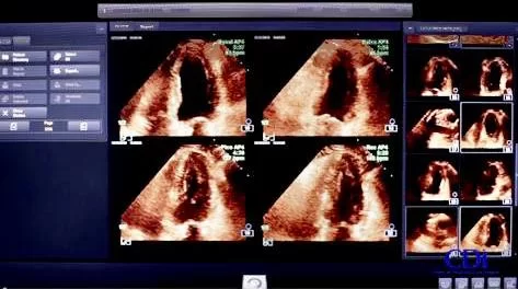
Registro das Imagens
- Durante o esforço e logo após, novas imagens do coração são registradas para comparar o funcionamento cardíaco com o repouso.
Análise dos Resultados
- O cardiologista analisa se há alterações na contração do músculo cardíaco que indiquem isquemia.
Considerações Finais
A Ecocardiografia de Stress é uma ferramenta essencial para a avaliação cardiológica, oferecendo informações detalhadas sobre a circulação coronariana e a função do coração sob esforço. Por ser não invasiva, confiável e de alta precisão, é amplamente utilizada para diagnóstico, estratificação de risco e acompanhamento de pacientes com suspeita ou histórico de doença arterial coronariana.
Por que escolher a CDI PREMIUM para sua Ecocardiografia de Stress?
Na CDI PREMIUM, priorizamos tecnologia de ponta e atendimento humanizado. Nossa equipe de especialistas garante segurança, precisão e conforto durante todo o exame.
Agende sua Ecocardiografia de Stress conosco e cuide da saúde do seu coração com confiança e qualidade.
(62) 3121-7272
Cadastre seus dados abaixo e receba uma ligação de agendamento da nossa equipe!
Selecione um exame específico para ver o preparo.
Nossos
Convênios

