Escore De Cálcio Coronário em Goiânia

Escore de Cálcio Coronário: Para que Serve e Como é Feito?
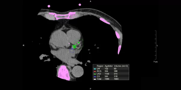
O Escore de Cálcio Coronário é um exame de imagem que avalia a quantidade de cálcio presente nas artérias coronárias do coração. Este exame é um importante indicador de risco para doenças cardiovasculares e é usado para ajudar na prevenção e no gerenciamento de condições como a aterosclerose.
O que é o Escore de Cálcio Coronário?
O Escore de Cálcio Coronário é obtido por meio de uma tomografia computadorizada (TC) que detecta depósitos de cálcio nas artérias coronárias. O cálcio se acumula nas paredes das artérias como parte do processo de aterosclerose, uma condição onde as artérias ficam endurecidas e estreitas devido à formação de placas. O exame mede a quantidade total de cálcio nas artérias coronárias e fornece um escore que ajuda a estimar o risco de eventos cardíacos futuros.
Para que Serve o Escore de Cálcio Coronário?
Este exame é utilizado para:
Avaliação de Risco Cardiovascular:
- Identificação de Risco de Doença Coronária: O escore ajuda a identificar pacientes com risco elevado de desenvolver doença arterial coronariana (DAC), uma condição que pode levar a infartos e angina.
Estratificação de Risco:
- Planejamento de Tratamento: Auxilia na estratificação de risco em pacientes com sintomas ambíguos ou fatores de risco para doenças cardíacas, ajudando a decidir se são necessários tratamentos adicionais, como medicamentos ou mudanças no estilo de vida.
Acompanhamento de Pacientes:
- Monitoramento da Progressão da Doença: O escore pode ser usado para monitorar a progressão da aterosclerose em pacientes com histórico de doenças cardíacas ou fatores de risco elevados.
Prevenção Primária e Secundária:
- Prevenção de Eventos Cardíacos: Em pacientes sem sintomas cardíacos, o escore pode ajudar a orientar estratégias de prevenção primária para reduzir o risco de eventos cardíacos futuros. Em pacientes com histórico de eventos cardíacos, pode orientar a prevenção secundária.
Como é Feito o Exame de Escore de Cálcio Coronário?
O exame de Escore de Cálcio Coronário é realizado em ambiente clínico com as seguintes etapas:
Preparação do Paciente:
- Instruções Pré-Exame: O paciente pode ser instruído a evitar alimentos e bebidas por algumas horas antes do exame. Em alguns casos, o médico pode recomendar a suspensão temporária de medicamentos que podem interferir com o exame.
Realização do Exame:
- Posicionamento: O paciente é posicionado deitado na mesa de tomografia. Eletrodos podem ser colocados no peito para monitorar o ritmo cardíaco durante o exame.
- Tomografia Computadorizada: O exame utiliza uma tomografia computadorizada de alta resolução para capturar imagens das artérias coronárias. A máquina de tomografia faz uma série de cortes transversais do coração, que são processados para identificar depósitos de cálcio nas artérias.
- Imagens e Cálculo do Escore: O equipamento calcula o escore de cálcio com base na quantidade de cálcio detectada nas artérias coronárias. O escore é um número que reflete a carga total de cálcio, indicando o nível de aterosclerose presente.
Pós-Exame:
- Análise dos Resultados: Os resultados são interpretados por um radiologista, que fornece um relatório detalhado com o escore de cálcio e sua interpretação em relação ao risco cardiovascular.
- Discussão dos Resultados: O paciente é informado sobre o escore e as implicações para sua saúde cardiovascular. Dependendo do resultado, o médico pode recomendar mudanças no estilo de vida, tratamento com medicamentos ou exames adicionais.
Informações sobre o Exame:
O CDI PREMIUM dispõe dos tomógrafos helicoidais multislices Aquilion Prime 160, com 160 cortes/rotação, e “Aquilion 64, Toshiba Medical” de 64 colunas de detectores, capazes de realizar imagens ultra rápidas com altíssima resolução espacial (voxels de 0,3 x 0,3 x 0,3 mm). Além disso, estes modernos tomógrafos são capazes de reduzir a dose de radiação, na rotina, em cerca de 75%, além de diminuir o tempo de exame e a dose de contraste endovenoso utilizado.
Realizamos os exames sempre com a presença de médico cardiologista e radiologista especialistas em angiotomografia.
Orientações Gerais:
- Recomendamos que se apresente ao local indicado para abertura de cadastro 20 minutos antes do horário marcado;
- Trazer pedido médico original e carteirinha do convênio (quando utilizar);
- Documento pessoal com foto;
- É necessário acompanhamento para menores de 18 anos e maiores de 80 anos ou pacientes com alguma limitação;
- É necessário apresentar resultado recente de creatinina (últimos 60 dias) principalmente pacientes acima de 70 anos ou com as seguintes condições: Insuficiência Renal Aguda, Insuficiência Renal Crônica ou Transplante Renal.
- Na ocasião do exame, haverá uma entrevista para a triagem de contraindicações aos exames.
- Em caso de dúvidas ou cancelamento entrar em contato com o CDI no telefone (62) 3121-7272 e WhatsApp (62) 99999-3336.
Considerações Finais
O Escore de Cálcio Coronário é uma ferramenta valiosa na avaliação do risco cardiovascular, fornecendo uma visão detalhada da presença de aterosclerose nas artérias coronárias. Sua capacidade de quantificar a carga de cálcio ajuda na estratificação de risco e na tomada de decisões para a prevenção e tratamento de doenças cardíacas.
(62) 3121-7272
Cadastre seus dados abaixo e receba uma ligação de agendamento da nossa equipe!
Esse exame não possui preparo!
Nossos
Convênios